|
Puppy swallows 13-inch knife, survives
(AP)
Updated: 2005-09-26 08:21
PLANTATION, Fla. - Jane Scarola's veterinarian thought the X-ray was a joke. He's seen strange items get into the stomachs of dogs before, things like kebab skewers and small utensils. But a 13-inch serrated knife that somehow was swallowed by a 6-month-old puppy?
That was a new one.
"I was just flabbergasted," the vet, Jon-Paul Carew of Imperial Point Animal Hospital in Fort Lauderdale, told the South Florida Sun-Sentinel.

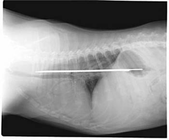
This photo of an X-Ray provided by Imperial Point Animal Hospital in Fort Lauderdale, Fla., Saturday, Sept. 24, 2005, shows a 13-inch serrated knife that somehow was swallowed by 'Elsie' a 6-month-old Saint Bernard puppy. [AP] |
Elsie, a Saint Bernard puppy, apparently had the blade between her esophagus and stomach for about four days before it was removed earlier this week in a 2-hour operation.
The puppy has an 8-inch scar, but is fine and back with her family. And the knife is back in Scarola's kitchen, albeit this time wrapped in a towel and placed in a cabinet atop the refrigerator.
"I'm going to frame it and give it to Dr. Carew," Scarola said. "He should hang it. Everybody should know what puppies are capable of putting down their throats."
Scarola used the knife to carve a turkey, and placed the blade on the counter — far from the edge.
She thinks one of her six other dogs — four Saint Bernards, a German shepherd and a Labrador — somehow got the knife, which eventually made its way to Elsie.
"She wants to eat everything and anything," Scarola said.
|